We'll put our experiences here and explain a bit more on our emotional journey.
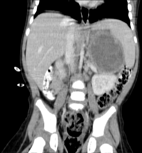
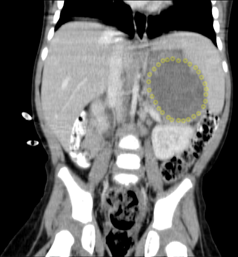
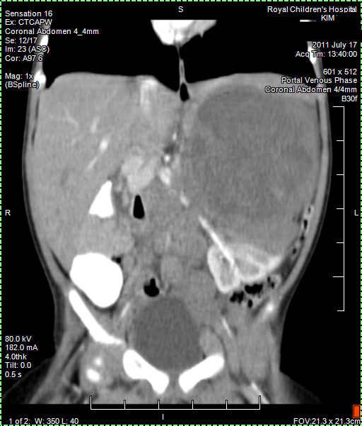
CT (CAT) scan 17July 2011
CT (CAT) scan 25 August 2011
For a (clinical) detailed day to day diary go to Daily History.